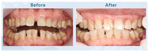
关闭牙缝的方式有很多,在调整前,最好检查清楚是哪种原因造成的牙缝过大。牙缝关闭方式的选择要根据自身情况来定,可参考医师提供的建议。但务必要选择正规机构和专业医师,以确保牙齿安全与闭缝效果。

以下几种方法供参考:
1、树脂修复:对于 1 ~ 2 mm 的门牙牙缝,可以直接用树脂美学修复。
2、牙齿矫正:通过戴牙套矫正的方法,使牙齿发生移动,牙齿矫正可以达到收缩牙齿缝隙的目的,矫正时间需要1年半到两年左右。
3、烤瓷牙修复:如果是门牙缝隙大,一般我们建议选择全瓷烤瓷牙,因为全瓷烤瓷牙没有金属基底,不仅能恢复牙体的形态功能,抗折力强且颜色、外观逼真,表面光滑,长期使用不会出现黑点及牙龈变色等问题,所需要的时间比较短。
4、牙齿贴片:牙齿贴片对于牙缝大也是一种很好的办法,相对于烤瓷牙来说牙齿贴片只需要磨去牙齿表面一层,对牙齿造成的损伤很小,而且所需要的时间也较短。
不论哪种修复方式,在调整前,最好检查清楚是哪种原因造成的牙缝过大。比如牙周病导致的牙龈萎缩,造成牙缝越来越大,必须先接受治疗,将牙周炎症控制住,随后再进行相应的修复牙缝。
